Our services
Tendon Repair Surgeries
Flexor tendon injuries
Extensor tendon injuries
Post-burn contracture release
Mallet finger
Boutonnière deformity correction






Congenital Hand Deformities
Syndactyly (webbed fingers)
Polydactyly (extra finger)
Cleft hand deformity
Arthritis & Chronic Hand Pain
Post Traumatic Arthritis
Rheumatoid Deformity Correction
Joint Salvage Procedures
Wrist Arthroscopy
Ganglion Cyst & Wrist Masses
Aspiration
Cyst Excision with Minimal Scar
Nerve Injuries Of Hand
Median Nerve Injury
Ulnar Nerve Surgery
Digital Nerve Repair
Post Traumatic Neuropathies






De Quervain's Tenosynovitis
Pain on Thumb Side of Wrist
Finkelstein Positive
Injection Therapy
Carpal Tunnel Syndrome
Numbness, Tingling, Night pain
EMG/NCV- based Diagnosis
Splinting,Medications
Endoscopic or Open Carpal Tunnel Release
Dupuytren's Contracture
Trigger Finger & Trigger Thumb






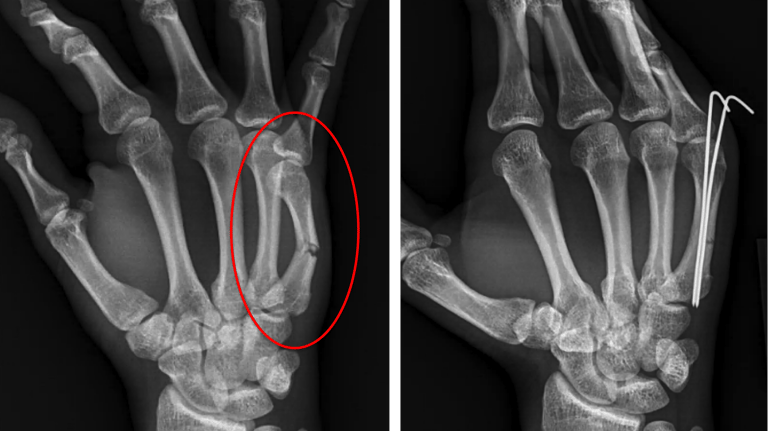
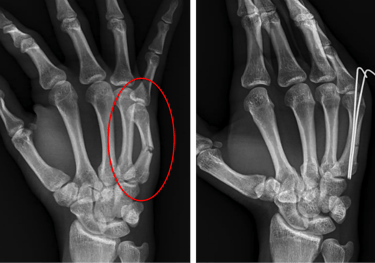
Hand & Wrist Fracture Management
Metacarpal & Phalangeal Fractures
Distal Radius (colles) Fractures
Scaphoid Fracture
Crush Injuries
Dislocations & Tendon Injuries
